S9

触摸惊奇 遍行天下

S9便携式彩色多普勒超声诊断仪是环球UG官网研发的高端便携彩超设备,外观设计新颖、产品性能卓越。S9在便携超声领域采用了突破传统的触摸屏交互设计,并以先进的软件硬件技术和设计理念,为您带来清晰的图像质量、稳定的工作性能和便捷的操作体验。

成像技术
VIS平台设计
μ-Scan微米成像
脉冲反相谐波成像
TDI组织多普勒成像
AutoC智能血流追踪
3D/4D成像
实时宽景成像
造影成像
弹性成像

人机交互
彩色液晶触摸屏控制板
双探头接口
多功能专业台车

广告

临床图

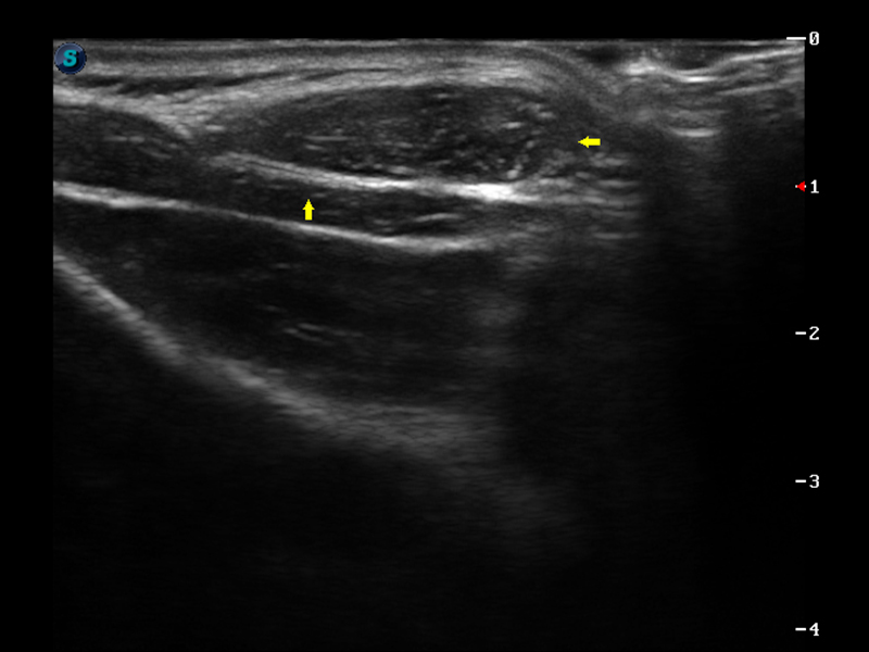
肌骨

肌骨

颈动脉血流

颈动脉血流

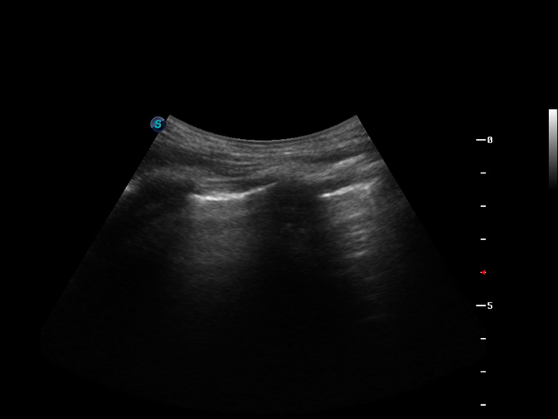
正常肺脏

正常肺脏

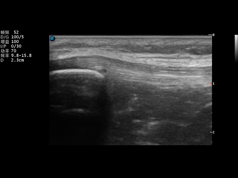
肌纤维瘤

肌纤维瘤

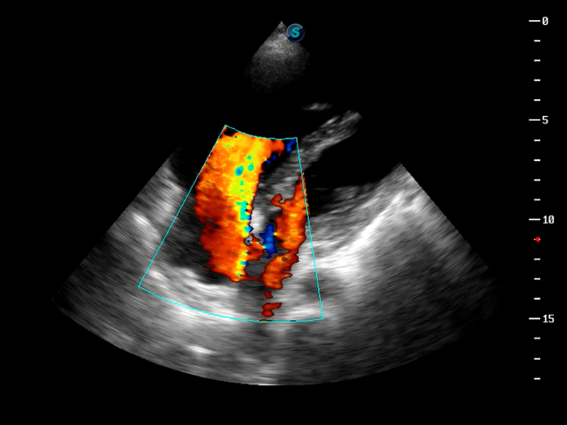
心脏房间隔缺损血流

心脏房间隔缺损血流

禁忌内容或者注意事项详见说明书